Форум ПМР
Форум Приднестровья, приднестровский форум свободного общения! Новости ПМР, погода в Тирасполе, курс валют ПМР, маршруты ПМР
Вернуться   Форум Приднестровья, форум ПМР > > >
Медицина и здоровье - Спрашиваем совета врачей по Вашему здоровью. Говорим о лекарствах и лечении, диетах и питании. Обсуждаем как сохранить красоту, как не болеть и т.д.

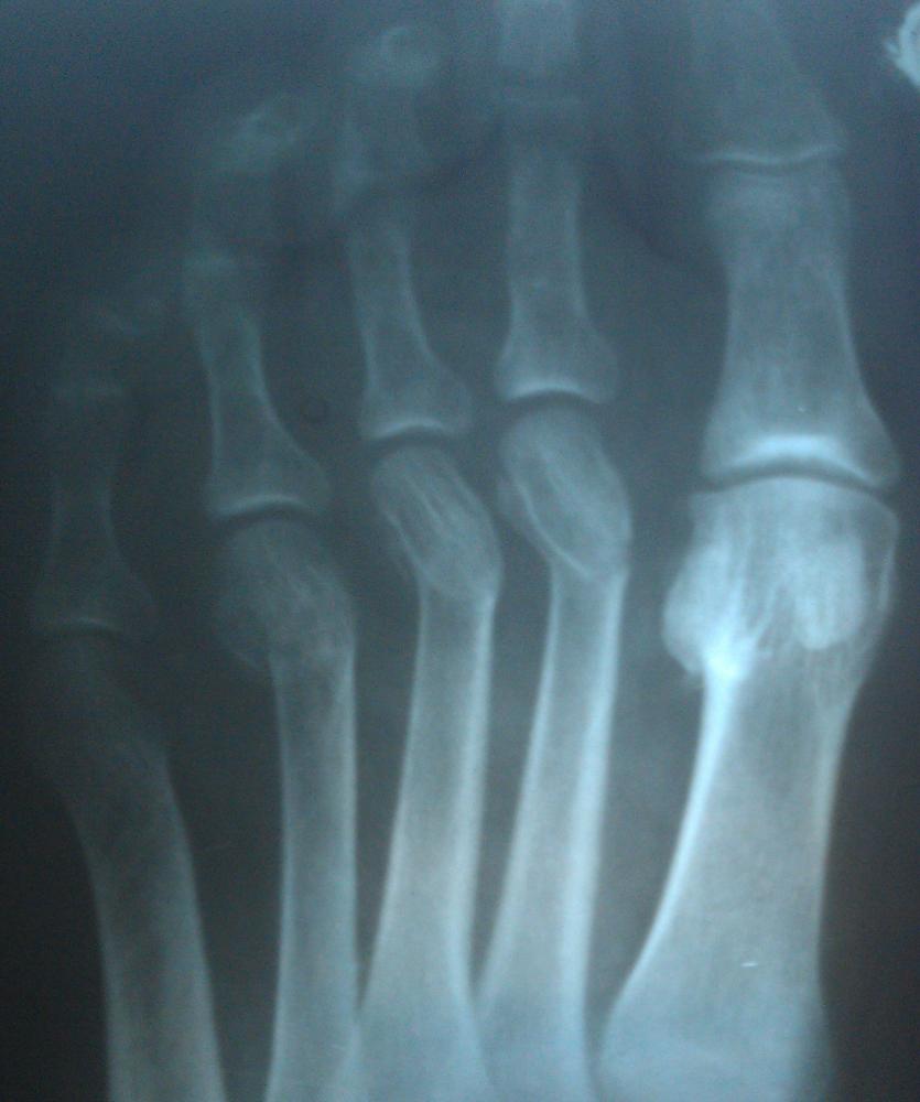
Перелом пальца ноги? Рентгеновский снимок.

 
 
Опции темы Поиск в этой теме Опции просмотра
 16.01.2016, 21:45  
По умолчанию Перелом пальца ноги? Рентгеновский снимок.
#1
  PMR PMR вне форума
  Администратор
 Аватар для PMR
Детали профиля (+/-)
Ответов: 43,369
Регистрация: 12.05.2008
Адрес: Тирасполь
Спасибо:4,713/5,030
Не понравилось:136/373
Репутация: PMR отключил(а) отображение уровня репутации

В общем есть рентгеновский снимок пальцев ноги.
Где делали рентген, сказали - сломаны 2,3,4 палец.
Травматолог посмотрел снимок - сказал, ушиб, переломы очень старые.
Кому верить? Гипс не поставили, просто дома в покое быть назначили (не мне).
Я так посмотрел другие рентгеновские снимки переломов пальцев ног в интернете - вроде нет переломов никаких.

Нажмите на изображение для увеличения
Название: Перелом пальца ноги на рентгене.jpg
Просмотры: 960
Размер:	58.4 Кб
ID:	17860
________________
Судьба - совокупность совершенных глупостей человека. Любите и принимайте людей такими, какие они есть.
Если Вас оскорбили - нажимаем "Пожаловаться на это сообщение" слева от поста под аватаром хама.
  Вверх
 
Похожие темы
Тема Автор Разделы Ответы Последний ответ
Перелом бедра, перелом голени незарегистрированный Медицина и здоровье 24 21.03.2017 20:21
Гильотина для пальца PMR Свободное общение 0 09.07.2010 15:06


Ваши права в разделе
Вы не можете создавать новые темы
Вы не можете отвечать в темах
Вы не можете прикреплять вложения
Вы не можете редактировать свои сообщения
BB коды Вкл.
Смайлы Вкл.
[IMG] код Вкл.
HTML код Выкл.
Быстрый переход по разделам

Текущее время: 21:19. Часовой пояс GMT +2.

Информация для лиц от 18 лет:

Форум ПМР. Социальный форум Приднестровья. Новости ПМР. Работа в Приднестровье. Объявления и реклама. Приднестровский форум. Знакомства и развлечения.
Яндекс.Метрика
Перевод: zCarot. Сегодня в Приднестровье. Всё самое интересное. Актуальные новости!