Форум Приднестровья, форум ПМР

Форум Приднестровья, форум ПМР (http://forum-pmr.net/index.php)
-   Медицина и здоровье (http://forum-pmr.net/forumdisplay.php?f=18)
-   -   Перелом пальца ноги? Рентгеновский снимок. (http://forum-pmr.net/showthread.php?t=113222)

PMR 16.01.2016 21:45

Перелом пальца ноги? Рентгеновский снимок.
 
Вложений: 1
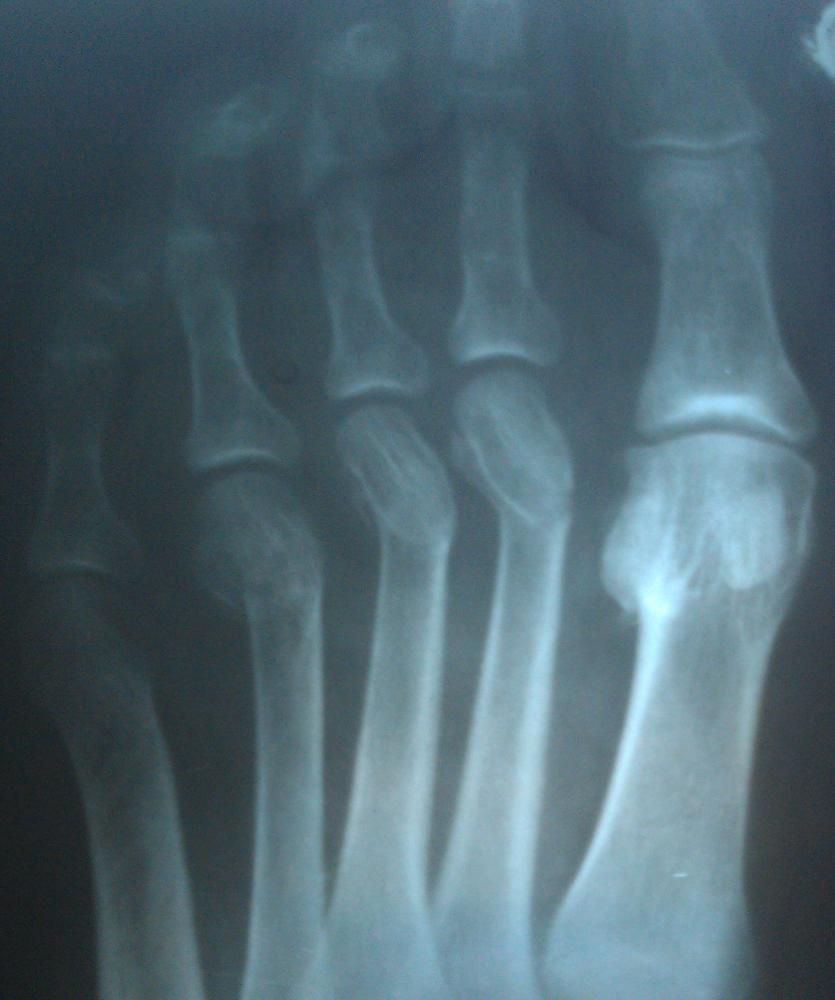
В общем есть рентгеновский снимок пальцев ноги.
Где делали рентген, сказали - сломаны 2,3,4 палец.
Травматолог посмотрел снимок - сказал, ушиб, переломы очень старые.
Кому верить? Гипс не поставили, просто дома в покое быть назначили (не мне).
Я так посмотрел другие рентгеновские снимки переломов пальцев ног в интернете - вроде нет переломов никаких.

Вложение 17860

Duke_Cheb 16.01.2016 22:20

Костную мозоль вижу. Ткани вокруг воспалены и очаг воспаления четко локализован. Конкретно травмы на снимке не видно. Мбыть старая трещина надумала подпортить жизнь? Дальше коновальствовать не рискну.
-------- Добавлено в 22:20 -------- Предыдущее было в 22:13 --------
Заранее для комментаторов: нет, у меня отсутствует медицинское образование. Да, я уверен в написанном. Считаю свое наблюдение верным потому что ломался очень часто, с душой, ответственно, и насмотрелся на снимки чего-то опять сломанного.

OldFellow 16.01.2016 22:37

Цитата:

PMR писал (а) (Сообщение 313917)
Кому верить?

Я могу тебе четко ответить, но для этого вы должны убрать 50 символов.:ab:

PMR 16.01.2016 23:07

Скажем, так, пожилая женщина упала на ногу.
OldFellow, врачи ставят диагнозы больше чем на 50 символов...

Savannah 16.01.2016 23:36

Тут полно врачей, ага.
Символы. Целых 50 символов.

PMR 17.01.2016 00:00

Как по мне, у многих есть знакомые врачи в аськах и скайпах. Просто у меня именно в данной области нет онлайн врача.
Еще бывает, что дома муж/брат/сват - врач.

OldFellow 17.01.2016 22:34

Цитата:

PMR писал (а) (Сообщение 313928)
Как по мне, у многих есть знакомые врачи в аськах и скайпах

Да,есть знакомые ,которые могут поставить точный диагноз.
Но стоить это будет- ровно 50 символов.
Подумайте. Целый диагноз и всего лишь за 50 символов. Это даром.
Это вам не 1000 баксов,это всего лишь 50 символов и все.
Можно еще добавить эротическое фото Нены.
Т.е. ,вы за диагноз убираете 50 символов и получаете фото Нены в топлес.
Такие условия даются только один раз в жизни.
Подумайте над этим.

PMR 17.01.2016 23:19

OldFellow, как-то мерзко Вы себя ведете, шантажом попахивает. Спасибо за предложение. Кто такая Нена - я не в курсе даже.
Кстати, врачам своим знакомым дайте свой пост почитать.


Текущее время: 21:15. Часовой пояс GMT +2.

Powered by vBulletin® Version 3.8.7
Copyright ©2000 - 2026, Jelsoft Enterprises Ltd. Перевод: zCarot